Tractaments
Implantologia i cirurgia oral
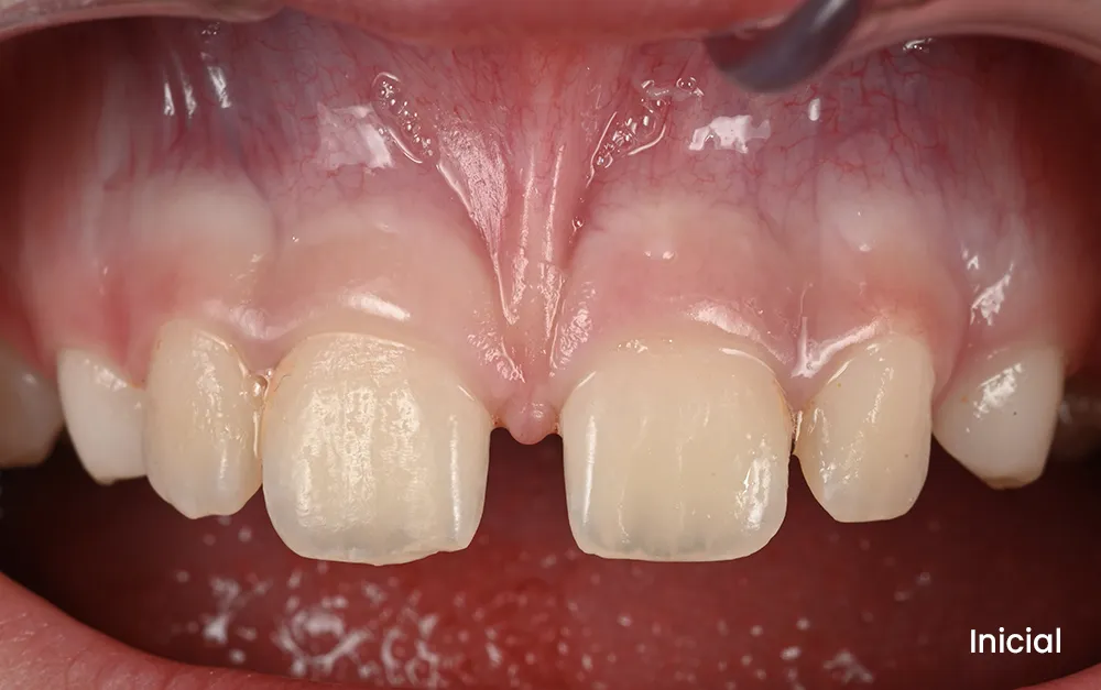
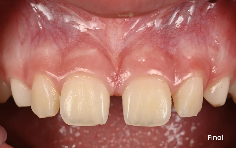
L’implantologia és una de les nostres principals àrees de treball, orientada a recuperar la funció masticatòria i l’estètica dental quan falta una o més dents. Mitjançant implants dentals, oferim solucions estables, duradores i personalitzades, amb planificació precisa per aconseguir resultats naturals i fiables.
Sempre ens assegurem que els pacients marxin amb dents, ja sigui amb una prótesis provisional o definitiva, adaptades a cada cas.
Garantim confort i tranquil·litat durant tot el procés!
La cirurgia oral acompanya aquests tractaments e inclou procediments com l’extracció de queixals del seny, frenectomies o biòpsies. Totes les intervencions es realitzen de manera indolora, amb anestèsia local i, si cal, sedació farmacològica controlada, aplicant tècniques mínimament invasives i un enfocament segur, per garantir confort i tranquil·litat durant tot el procés i la recuperació.
Principals tractaments d’implantologia i cirurgia oral
- Implants dentals
- Implants amb càrrega inmediata
- Extracció de queixals del seny
- Extraccions dentals complexes
- Frenectomia
- Cirurgia periapical (apicectomia)
- Biòpsia oral
- Regeneració òssia
Preguntes freqüents

